Arthrosis of the knee joint (gonarthrosis)is a chronic progressive disease of the knee joints with injury, thinning and destruction of its cartilaginous part (articular surfaces of the femur and tibia), in addition to damage to the subchondral bone.It has been proven by studies (arthroscopy and magnetic resonance imaging) that in addition to damage to the articular cartilage, the menisci and synovial membrane are involved in the process.Gonarthrosis is one of the most common orthopedic pathologies.There are its synonyms - osteoarthritis (OA), deforming arthrosis.The disease is an important socioeconomic problem, as it is widespread and significantly worsens patients' quality of life due to constant pain and, in addition, becomes a cause of high disability.

Until the mid-eighties of the last century, there was no unified definition of the disease.Only in 1995 did the osteoarthritis committee of the American College of Rheumatology characterize the disease as the result of mechanical and biological factors that lead to an imbalance between the processes of degradation and synthesis of the extracellular matrix of articular cartilage.As a result, disintegration and degeneration of fibers occur, cracks, osteosclerosis and compaction of the cortical layer of the subchondral bone form, osteophytes grow and subchondral cysts form.
Why does osteoarthritis of the knee joint occur?
Risk factors for osteoarthritis include:
- chronic traumatization (violation of physical activity, excess weight);
- endocrine, inflammatory, metabolic and ischemic diseases;
- the presence of congenital or acquired disorders in the relationships, shape or structural organization of the joint ends.
If you notice similar symptoms, see your doctor.Do not self-medicate - it is dangerous to your health!
Symptoms of osteoarthritis of the knee joints
Osteoarthritis of the knee joint is characterized by:
- gradual onset;
- mild pain in the joint when moving, especially when going up and down stairs;
- “tightness”, stiffness and “initial pain” that occurs during the first steps and decreases or disappears if the patient “diverges”, after significant physical activity he resumes.
- the appearance of the knee remains the same.Sometimes there is slight swelling or fluid buildup in the joint.At the same time, the knee increases in volume, swells, becomes flattened and restrictions in movement and weight are felt.
Painful sensations
As the disease progresses, the pain becomes more intense, appearing even with small efforts and long walks.Located along the anterior-inner surface of the joint.Prolonged rest often helps relieve pain.
Limited mobility of the knee joint and a characteristic crunch
With arthrosis, the range of joint movements may decrease, a crisis may appear, and sharp pain appears when the leg is bent to the maximum.
Knee deformity
The configuration of the joint changes, as if it is expanding.
Synovitis
Synovitis of the knee joint is an inflammation of the lining of the inner cavity of the joint.The disease manifests itself in the form of swelling of the knee, redness of the skin and limited mobility of the joint.With the development of osteoarthritis, synovitis occurs more frequently, lasts longer and involves a large amount of fluid.
The last stage of gonarthrosis is distinguished by the fact that the pain becomes almost constant, causing anxiety not only when walking, but also when resting and even at night, when the patient needs to find a comfortable position to sleep.Movement is more limited: it is difficult to fully bend and straighten the leg.The joint becomes deformed and increases in volume.Valgus (X-shaped) or varus (O-shaped) deformity of the legs is often observed.The gait becomes unstable and staggers.In severe cases, a cane or crutches are required.

According to researchers, 76% of elderly people who complain of knee pain have x-rays that show gonarthrosis.According to statistics, women are more affected by the disease, which is associated with hormonal changes after the age of 45.
Pathogenesis of arthrosis of the knee joints
There are primary and secondary osteoarthritis.
Primary osteoarthritis of the knee joint
- Articular cartilage is constantly destroyed and renewed;Normally, these processes are balanced.With age, cartilage renewal slows down and destruction begins to predominate, which is called the process of degradation or degeneration.The weight of a person plays an important role, since with a mass of 70 kg in 20 steps we carry 700 kg on each leg (70 kg x 10 steps), and with a mass of 120 kg we already carry 1200 kg on each leg.Therefore, weak cartilage wears out much more quickly;
- it is necessary to remember: the joint receives nutrients and restores itself while moving;A sedentary lifestyle reduces metabolic processes and the necessary elements do not reach the cartilage;
- There is controversial evidence regarding the hereditary role in the occurrence of the disease.If parents had arthrosis, the likelihood of its occurrence in children increases;
- occurs due to autoimmune synovial inflammation.
Secondary osteoarthritis of the knee joint
- injuries (fractures, tears of the meniscus and anterior cruciate ligament).Unfortunately, in anyone, regardless of age, these injuries cause excessive stress on the cartilage.A fracture of any part of the bones covered with cartilage is accompanied by the formation of an unevenness - a “step”.In this area, when moving, abrasion occurs and osteoarthritis forms;
- rheumatoid arthritis, Koenig's disease (osteochondritis dissecans), consequences of purulent inflammation in the joint (gonitis), etc.;
- regional vascular disorders;
- chronic exudative-proliferative and cicatricial adhesive processes in the joint.

In arthrosis (osteoarthrosis), in addition to the progressive destruction of cartilage, loss of elasticity and shock-absorbing properties, bones are gradually involved in the process.Under load, sharp edges (exostoses) appear, which are mistakenly considered “salt deposits” - in classic arthrosis, salt deposition does not occur.As osteoarthritis progresses, it continues to “eat” the cartilage.Then the bone becomes deformed, cysts form, all joint structures are affected and the leg becomes bent.
In addition to the internal or external part of the knee, osteoarthritis can also affect the surfaces between the patella and the intercondylar groove of the femur.This option is calledpatellofemoral osteoarthritis.
Its cause is usually subluxation, fracture or lateralization of the patella.

Classification and stages of development of arthrosis of the knee joints
Regardless of the cause, there are three stages of gonarthrosis, or deforming arthrosis of the knee joint.
Gonarthrosis, stage I
The first stage of the disease is characterized by primary changes in hyaline cartilage.Bone structures are not affected.The blood supply in the intraosseous vessels and capillaries is disrupted.The surface of the cartilage becomes dry and loses its smoothness.If the disease is accompanied by constant tense synovitis, a Baker cyst develops (hernial protrusion of the joint capsule of the popliteal region).After significant stress on the joint, dull pain occurs.There may be slight swelling that disappears after rest.There is no deformation.
Gonarthrosis, stage II
In the second stage, the cartilage layer becomes noticeably thinner and in some places is completely absent.Osteophytes appear along the edges of the articular surfaces.The qualitative and quantitative characteristics of the synovial fluid of the joint change - it becomes thicker, more viscous, which leads to a deterioration in its nutritional and lubricating properties.The pain is more prolonged and intense, and a grinding sound often appears during movement.There is a mild or moderate restriction of movement and slight deformation of the joint.Taking painkillers helps to alleviate the pain.
Gonarthrosis, stage III
Lack of cartilage in the most affected areas, severe sclerosis (hardening) of the bone, many osteophytes and marked narrowing or absence of the joint space.The pain is almost constant and walking is impaired.Mobility is quite limited and joint deformation is noticeable.NSAIDs, physical therapy and other standard methods of treating knee osteoarthritis are ineffective.
Types of gonarthrosis
Depending on the number of affected joints, unilateral and bilateral gonarthrosis are distinguished.
Complications of arthrosis of the knee joints
The most common complication of stages II and III is tendovaginitis of the thigh adductor muscle group.This is manifested by pain along the inner surface of the joint, which intensifies with movement.The cause is muscle imbalance and deformation.With a prolonged decrease in range of motion, contracture develops.In addition, synovitis often occurs.
Consequences of advanced gonarthrosis
Gonarthrosis affects the entire musculoskeletal system, disturbing the biomechanics of the spine and other large joints of the lower extremities.This can cause herniated discs and arthritis of other joints.The second knee joint is overloaded (if the disease is unilateral), as the patient spares the painful leg, transferring the weight to the other healthy one.
Diagnosis of arthrosis of the knee joints
Instrumental diagnosis of arthrosis of the knee joint
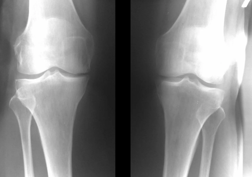
In the vast majority of cases, an examination and x-ray of the knee joint in two projections (direct and lateral) are sufficient.Clinical data and imaging help determine the stage of the disease.

In the early stages of the disease, with small changes in bone tissue, radiographic examination is not as valuable.At this stage, gonarthrosis can be diagnosed through arthroscopy.The accuracy of the method is very high;only its invasive nature and price can stop it.
Ultrasonography does not allow clear visualization of changes in the articular cartilage and intra-articular structures.Using MRI, you can detect changes in the bony, cartilaginous and soft tissue structures of the joint, as well as the subchondral bone, with 85% accuracy.Scintigraphy can be used to evaluate the metabolic activity of periarticular bone tissue.
Laboratory diagnosis of arthrosis of the knee joint
An increased content of phosphorus and calcium in dehydrated synovial fluid is evidence of the destruction of the osteochondral tissue of the joint and the accumulation of degradation products.Blood is also examined - general analysis and erythrocyte sedimentation rate (ESR);determine the level of fibrinogen, urea and other biochemical parameters of blood and urine.
Is it possible to completely cure deforming osteoarthritis of the knee joint?
Gonarthrosis can only be completely cured at the initial stage of the disease.
Which doctor treats deforming osteoarthritis of the knee joint?
A traumatologist-orthopedist or rheumatologist makes the diagnosis and prescribes treatment.
Treatment of osteoarthritis of the knee joints
Conservative — anti-inflammatories, analgesics, muscle relaxants, vascular, chondroprotectors, compresses, kinesiotaping, physiotherapy, physiotherapy, orthoses.
Minimally invasive- para-articular blocks (Novocaine + medicine relieves pain and inflammation), injection of artificial lubricant into the joint itself, plasma lifting.
Surgical — arthroscopy (a low-traumatic method of treating intra-articular pathologies and removing damaged structures), endoprostheses.
Drug treatment (medicines for the treatment of osteoarthritis of the knee joint)
Conservative methods are most effective in the initial phase of the disease.They help reduce pain and temporarily slow the destruction of cartilage.In phase II, more effective methods are needed.The introduction of hyaluronic acid preparations into the joint cavity is used to reduce friction and trauma to the cartilage.There is no clear evidence for cartilage restoration, but it is good for lubricating surfaces.“PRP therapy” (plasmolifting) is the injection of platelet-rich plasma into the knee joint, obtained from the patient's own blood by centrifugation.It nourishes cartilage and promotes its restoration, since autoplasma platelets contain numerous growth factors and cytokines that promote the regeneration of damaged tissues.
Surgical treatment and endoprosthesis
Endoprosthesis replacement is a common and effective surgical method in the treatment of severe gonarthrosis, which allows you to maintain the mobility of the limbs and the ability to lead a full life later.This is a high-tech operation that lasts approximately an hour and a half.Postoperatively, long-term rehabilitation and development of the joint are necessary.After 25-30 years, when the artificial joint wears out, it needs to be replaced again.

Physiotherapy and kinesiotherapy
Physiotherapy and kinesiotherapy methods for treating arthrosis of the knee joint are ineffective.
Diet therapy
The diet is only necessary to maintain a normal weight;There are no restrictions on the consumption of certain foods for gonarthrosis.
Does the block help with gonarthrosis?
For arthrosis of the knee joint, a paraarticular block is used - an injection of the drug into the soft tissues surrounding the joint.During the procedure, the area of inflammation and pain points near the joint are determined, the skin is treated with alcohol and hydrocortisone with anesthetic is injected into this area.
Therapeutic exercises for osteoarthritis
Therapeutic exercises are useful both for patients suffering from gonarthrosis and for the prevention of this disease.Effective Exercises:
- full flexion and extension of the leg, lying on the back;
- Raise a straight leg while lying on your back.
Forecast.Prevention
You need to understand that if arthrosis begins to develop, it must be treated immediately.If you are at risk of contracting this disease, you can delay its onset by:
- reduce stress on the knee joint;
- swim - water relieves stress;
- massage the muscles of the leg and thigh yourself;
- avoid hypothermia and overwork;
- maintain normal weight;
- stop smoking and alcohol;
- women wear comfortable low-heeled shoes;
- do physical therapy
Before starting therapeutic exercises, you should definitely consult your doctor.Exercises are performed at a slow pace.If pain or discomfort occurs during gymnastics, the exercises should be stopped.
It is necessary to use only effective medications.Rubbing, compresses and other folk methods are ineffective;they do not act on the cause of the disease, but only help to divert attention from the pain.Avoid injuries and overloads - jumping, carrying heavy objects, standing for a long time or sitting in an uncomfortable position.This accelerates the progression of the disease.
It is also necessary to promptly diagnose and treat rheumatoid arthritis, gout and systemic diseases.
What factors influence the long-term prognosis of knee osteoarthritis?
The prognosis depends on the stage at which the patient went to the doctor and the correct therapy.The sooner you start appropriate treatment, the greater your chances of avoiding surgery.






















